Parasitología
Ultraestructura de Blastocystis hominis y su enquistamiento en cultivo polixénico.
Resultados
El examen microscópico del sedimento del cultivo polixénico de B. hominis en el medio BDM, a las 24, 48 y 72 horas de incubación reveló el marcado polimorfismo previamente descrito para este organismo, observándose las formas con cuerpo central (FCC), forma granulosa (FGra), forma ameboide (FAmeb) y los quistes, además de una marcada variación en el tamaño de 4-30 µm. Con aumentos 400x y 1000x (Figura 1A), las FCC presentan forma redondeada u ovalada, 4-30 µm de diámetro, un organelo membranoso de gran tamaño denominado cuerpo central que puede ocupar entre 40- 75% del tamaño celular y su aspecto puede ser muy refringente o traslúcido.


Fig. 1.- B. hominis. Sedimento de cultivo polixénico en medio BDM, aislado B69:UCV. A.- Formas con cuerpo central, diferentes tamaños y aspecto del cuerpo central (CC). La flecha señala una célula con CC poco refringente rodeado de formas con CC muy refringentes. Examen en fresco 40x. B.- Forma globulosa con vesículas en el citoplasma y una gruesa cubierta mucoide. Tinta china. 100x. El citoplasma es escaso, delimitado externamente por la membrana citoplasmática e internamente por la membrana del cuerpo central, queda reducido a un delgado espacio en el cual se ven las inclusiones citoplasmáticas. Sobre la membrana citoplasmática está presente una cubierta mucoide, observada en todas las variantes morfológicas y demostrable en las preparaciones con tinta china (Figura 1B). Al microscopio electrónico (Figura 2A, 2B) esta cubierta externa se observa como un material fibrogranular alrededor de la membrana citoplasmática (glicocálix).
Fig. 2A- B. hominis. Sedimento de cultivo polixénico en medio BDM, aislado B69:UCV. MET. Forma con cuerpo central. Membrana plasmática con glicocálix (G) en la superficie. Citoplasma (C) electrodenso, dos mitocondrias (M), Aparato de Golgi (AG), Cuerpo central (CC), membrana del CC.

Fig. 2B.- B. hominis. Sedimento de cultivo polixénico en medio BDM, aislado B69:UCV. MET. Ampliación: Región del citoplasma con retículo endoplasmático rugoso (RER), Aparato de Golgi (AG), la flecha señala una bacteria (b) adherida al glicocalix (G) y una zona donde la membrana del cuerpo central (MCC) es discontinua.
El cuerpo central (CC) tiene una membrana (MCC) aparentemente discontinua en algunas zonas, y puede o no contener material electrodenso como gránulos finos. En el citoplasma pueden verse núcleos (N) con un espacio perinuclear (ep), 1-3 mitocondrias (M), Retículo Endoplásmico Rugoso (RER), Retículo Endoplásmico Liso (REL), Aparato de Golgi (AG) y ribosomas libres (R). El núcleo presenta la membrana nuclear (MN) con poros (p), característica de los eucariontes. Las mitocondrias varían en número, forma y tamaño, dentro de una misma célula y en una misma cepa. Están localizadas cerca del núcleo. Presentan forma circular, tubular o vesiculosa, con elevada electrodensidad y crestas abundantes o escasas que se ven como espacios claros. El retículo endoplásmico, presenta una estructura sacular simple o múltiple, de electrodensidad moderada y puede o no tener ribosomas adheridos. El aparato de Golgi está constituido por estructuras vesiculares múltiples, localizado muy cercano al núcleo y las mitocondrias. En el citoplasma hay vesículas libres con membrana sencilla, inclusiones electrodensas y ribosomas libres (Figura 2B).
Las FGra al microscopio de luz (Figura 3A, 3B) son similares a las FCC pero tienen el cuerpo central lleno de gránulos.


Fig. 3.- B. hominis. Sedimento de cultivo polixénico en medio BDM, aislado B69:UCV. A.- Forma granulosa (FGra), cuerpo central con abundantes granulaciones y en división binaria. Fresco 40x. B.- FGra coloreada con Hematoxilina férrica. 100x. Al microscopio electrónico tienen material electrodenso agrupado en cúmulos o distribuidos uniformemente en todo el cuerpo central (Figuras 4A, 4B, 5A).

Fig.4A.- B. hominis. Sedimento de cultivo polixénico en medio BDM, aislado B69:UCV. MET. Forma granulosa. Glicocálix (g) visible como un material fibrogranular, material granular abundante dentro del cuerpo central (CC). La membrana del cuerpo central (MCC) se ve discontinua, solo es visible en algunas regiones, Núcleo (N) con membrana nuclear bien definida, espacio perinuclear (ep) y cromatina dispuesta en forma de media luna., nucleoplasma muy granuloso y electrodenso. Bacterias (b) asociadas en el cultivo polixénico.

Fig.4B.- B. hominis. Sedimento de cultivo polixénico en medio BDM, aislado B69:UCV. MET. Forma granulosa. Glicocálix (G) abundante en la parte externa de la membrana plasmática la cual presenta una invaginación en un lado. Citoplasma (C) electrodenso en en el cual hay vacuolas. Membrana de cuerpo central (MCC) bien delimitada, cuerpo central (CC) contiene abundante material granular electrodenso. Estas formas al igual que las FCC pueden verse deformadas con invaginaciones que también se reflejan en el cuerpo central. En algunas células el cuerpo central presenta mayor electrodensidad (Figura 5A). En el citoplasma se ve el núcleo con su nucleolo característico en forma de media luna, las mitocondrias, ribosomas, RER, y vacuolas. Presenta un glicocálix de grosor variable sobre la membrana citoplasmática (Figuras 4A, 4B, 5A).

Fig.5.- B. hominis. Sedimento de cultivo polixénico en medio BDM, aislado B69:UCV. MET. Forma granulosa. Glicocálix (G) delgado en la parte externa de la membrana plasmática (MP) en la cual se pueden ver poros (p). Presenta una invaginación. El cuerpo central (CC) esta bien definido por la elevada electrodensidad del material granular que contiene. El núcleo (N) esta localizado en una invaginación del cuerpo central. Hay tres mitocondrias (M), reticulo endoplasmático rugoso (RER) y aparato de Golgi (AG) en el citoplasma. Bacterias (b) asociadas en el cultivo polixénico.
Las FAmeb, tienen una forma irregular en las preparaciones en fresco por la emisión de pseudópodos pequeños (Figura 6A, 6B) pero pueden ser redondeadas después de la fijación.


Fig. 6.- Blastocystis hominis en sedimento de cultivo polixénico en medio de Boeck -Drbohlav. Aislado Bh69:UCV. Fresco. 100x.. A.- Forma ameboide con un cuerpo central (CC) muy refringente, citoplasma (C ) abundante y seudópodos romos. B.- Forma ameboide sin cuerpo central evidente, gránulos en el citoplasma periférico (señalado con la flecha) y un solo seudópodo tipo lobopodio.
El cuerpo central generalmente es más pequeño que en las otras formas (Pérez de Suárez y col, 1994, Guzmán de Rondón, 1995) y sobre la membrana plasmática también esta presente la cubierta mucoide. Al microscopio electrónico (Figura 7) la membrana plasmática está bien delimitada y el glicocálix es una capa gruesa de material fibrogranular dispuesto de manera radiada. La membrana del cuerpo central no está bien definida en algunas células, pero puede diferenciarse el material interno del resto del contenido citoplasmático. El citoplasma contiene abundante material fibrogranular grueso y hay un aumento de electrodensidad en la parte externa de la membrana plasmática. El núcleo presenta las características ya descritas, pero puede observarse ligeramente de mayor tamaño. Las mitocondrias pueden presentar abundantes crestas (figura 7).

Fig.7.- B. hominis. Sedimento de cultivo polixénico en medio BDM, aislado B69:UCV. MET. Forma ameboide. Membrana plasmática (MP) bien evidente con una gruesa capa de glicocálix (G) en la parte externa. Citoplasma con material electrodenso abundante. Cuerpo central (CC) pequeño y con poca delimitación de su membrana. Tres mitocondrias (M) con crestas bien desarrolladas, núcleo (N) con membrana nuclear bien delimitada y cromatina en forma de media luna, nucleoplasma muy granuloso y electrodenso. Los quistes pueden presentar una cubierta externa muy delgada (Figura 8A), otros no la tienen y pueden denominarse quistes desnudos (Figura 8B, 8C). Los quistes con cubierta presentan una delicada capa externa separada de la pared quística por un espacio claro, el cual es casi imperceptible en el examen al microscopio de luz. El diámetro de la cubierta externa es de 10 µm, mientras que el quiste verdadero solo alcanza 4-5 µm de diámetro. Este tiene forma redondeada u oval, en el sedimento se ven muy refringentes, verdosos y se les distingue muy bien la pared gruesa, algunas veces estructuras internas. Pueden presentar una retracción de la pared quística y verse de manera similar al aspecto que adquieren los quistes de otros protozoarios intestinales (Figura 8A). Los quistes desnudos, tienen iguales características que los anteriores, pero carecen de la cubierta externa (figura 8B, 8C).

Fig. 8A.- B. hominis. Sedimento de cultivo polixénico en medio BDM, aislado B69:UCV. Quistes con cubierta. Examen en fresco. 100x. Tamaño del quiste 5µm y diámetro de la cubierta externa 10µm. La cubierta externa (CE) es fina y se observa el espacio vacío entre ésta y el quiste (Q) el cual es muy refringente.
Fig.8B-C.- B. hominis. Sedimento de cultivo polixénico en medio BDM, aislado B69:UCV. Quistes desnudos. 100x. B.- Examen en fresco. Se observan estructuras esféricas refringentes. C.- Con solución de Lugol, las estructuras esféricas no se colorean y en el centro se ve una vacuola de glucógeno pequeña (señalada con la flecha). En las preparaciones teñidas con lugol se destacan en el interior cierta cantidad de estructuras esféricas prominentes, entre las cuales pudiera encontrarse el núcleo, pero con esta coloración es difícil identificarlo. Además pueden verse pequeñas vacuolas de glucógeno (Figura 8C). La cubierta externa de los quistes, ultraestructuralmente se observa constituida por material fibrogranular y dentro está el quiste propiamente dicho, cuya pared presenta de afuera hacia dentro una capa externa, fina y filamentosa, una banda intermedia electrón opaca y una capa interna homogénea, en contacto con la membrana celular (Figura 9). Hay quistes con organelos citoplasmáticos similares a las formas vegetativas, con el núcleo rodeado del espacio perinuclear y la cromatina dispuesta en la periferia, las mitocondrias redondeadas con pocas crestas, AG, RER y gran cantidad de ribosomas libres (Figura 9).

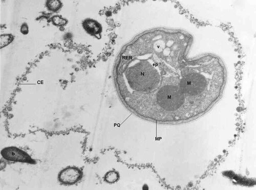
Fig.9.- B. hominis. Sedimento de cultivo polixénico en medio BDM, aislado B69:UCV. MET. Forma quística con cubierta externa (CE) irregular con material vesiculoso y granular. Pared quística (PQ) constituida por dos capas separadas por una banda electrodensa. Membrana plasmática (MP) bien delimitada, citoplasma electrodenso, núcleo (N) con espacio perinuclear (ep) evidente, dos mitocondrias (M) y retículo endoplásmico rugoso (RER) muy cercanos al núcleo. Otros quistes presentan gran cantidad de gránulos electrodensos, vesículas electrontransparentes de forma circular y con diferente tamaño y cinco estructuras esféricas con membrana propia, cuya morfología no corresponde a núcleos ni mitocondrias (Figura 10).

Fig.10.- B. hominis. Sedimento de cultivo polixénico en medio BDM, aislado B69:UCV. MET. Forma quística. Cubierta externa (CE) irregular constituida por material fibrogranular. Pared quística (PQ), gruesa con tres zonas bien definidas. La membrana plasmática no se identifica claramente por la elevada cantidad de gránulos electrodensos que hay en el citoplasma. El quiste presenta vesículas (V) vacías y cinco estructuras esféricas con membrana propia semejantes a células hijas (CH).
|