Ectopia tiroidea intratorácica primaria una patología excepcional. Presentación de caso
Presentación del caso
Paciente del sexo masculino de 66 años, con antecedentes de hipertensión arterial para lo cual lleva tratamiento. Que acudió a consulta por presentar decaimiento, cansancio fácil, tos seca de meses de evolución, frecuentes palpitaciones, disfagia y cambios de la voz (ronquera), cuadro que comenzó hacía aproximadamente hace dos años, y fue aumentando en intensidad, sin otras complicaciones. Al examen físico se constató como dato positivo en la exploración del cuello tiroides visible (tiromegalia), palpable a predominio del lóbulo derecho, con adenopatías palpables. El paciente estaba clínica y biológicamente eutiroideo, así mismo las pruebas de laboratorio no mostraron anormalidades y las pruebas de función tiroidea fueron normales. La radiografía de tórax (vista anteroposterior y lateral) se observó ensanchamiento del contorno derecho del mediastino anterosuperior una masa bien delimitada de contornos regulares, bien definidos que provoca desviación de la tráquea hacia la izquierda de la línea media, en la vista lateral se proyecta en un plano medio con desviación y compresión de la tráquea desplazándola hacia delante (Figura 1). 
Figura 1. Radiografía de tórax. Proyeccion PA: aumento del diámetro transverso del mediastino superior por radiopacidad redondeada que comprime y desplaza la tráquea hacia la izquierda. Proyeccion Lateral derecha:discreta radiopacidad peri-traqueal en mediastino anterosuperior que sugiere la presencia de una masa mediastínica.
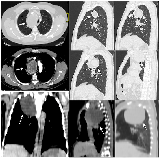
El ultrasonido tiroideo mostró una glándula agrandada con nódulos mal definidos bilateralmente. La tomografía computarizada cervicotoracica, después de la administración de medio de contraste, mostró un aumento de volumen el lóbulo tiroideo derecho, así mismo una masa realzada en el lado derecho del mediastino anterosuperior, por delante de los grandes vasos, que desplazan hacia delante la tráquea y el esófago y se extendía hasta el nivel de la bifurcación de la tráquea que mide aproximadamente 8.2 × 6.4 × 4.2 cms, (Figura2). 
Figura 2. Tomografía computarizada cervicotoracicacon contraste muestra una masa realzada no heterogénea en el lado derecho del mediastino corte axiales, sagital y coronal.Localizacióndel bocio intratorácicoendotorácico primario (flechas blancas).
El plan de tratamiento para este paciente consistió en la intervención quirúrgica a través de cervicotomía anterolateral con tiroidectomía total más vaciamiento ganglionar paratraqueales nivel VI. Se evidencio masa mediastínica anterosuperior la cual era independiente del tiroides cervical tiroides ectópico intratorácico (bocio intratorácico primario) la cual se extirpo en su totalidad por la misma cervicotomía.
El análisis anatomopatológico final confirmó que se trataba de una hiperplasia nodular coloide el de la glándula tiroides (Bocio nodular). Mientras que la masa en el mediastino prevascular (mediastino anterosuperior) el reporte macroscópico: Tumoración nodular que mide 7.2×5.6×3.5 cms de superficie externa lisa marrón amarillento-homogénea con material mucinoso. Histológicamente, se observó neoplasia benigna de origen epitelial formada por folículos con áreas de degeneración mixoide reportada como adenoma macrofolicular con degeneración mixoide coloide: Bocio nodular ectópico primario.
Figura 3. Bocio, micrografía óptica, agrandamiento anormal de la glándula tiroides |