Octubre-Diciembre 2025 104
DOI:10.70024 / ISSN 1317-987X
 
Buscar




Artículos
 




Infectología
Síndrome Respiratorio Agudo Severo

Manifestaciones clínicas

El Síndrome Respiratorio Agudo Severo (SRAS) es una enfermedad respiratoria aguda, que usualmente comienza con un pródromo de fiebre (> 38,5 oC), asociada a escalofríos, cefalea, malestar general y mialgias generalizadas. Después de 2 a 7 días se desarrolla tos seca, no productiva, acompañada de hipoxemia o progresando a ella. Síntomas neurológicos y rash están ausentes. En 10-20% de los casos los pacientes pueden requerir ventilación mecánica y la tasa de mortalidad oscila entre 3-6% (4-6). El período de incubación es entre 2-7 días, pero puede prolongarse hasta 10 días.

El mecanismo principal de contagio es por contacto cercano persona-persona. La mayoría de los casos de SRAS corresponden a personas que cuidaron o convivieron con alguien afectado con la enfermedad, o tuvieron contacto directo con material infeccioso, por ejemplo, secreciones respiratorias. Otras vías potenciales de contaminación incluyen contacto con la piel de la persona enferma u objetos contaminados con gotas de saliva y luego tocan sus ojos, nariz o boca.

El período de contagio es mayor cuando están presentes los síntomas como fiebre o tos. No obstante, no se conoce cuanto tiempo antes o después de que empiezan las manifestaciones de la enfermedad, esta puede transmitirse.

Las personas que están más a riesgo de contraer la enfermedad son aquellas quienes tuvieron contacto directo con alguna persona infectada, tales como aquellas que compartieron algún lugar donde estaba el paciente con SRAS y los trabajadores de salud que no se protegieron adecuadamente. La mayoría de los pacientes identificados de haber padecido SRAS son adultos entre los 25-70 años. Pocos casos sospechosos han sido reportados en niños menores de 15 años, pero una publicación reciente (7) indica que los niños menores presentaron un curso clínico más leve (fiebre, tos, rinorrea) y más corto que los adolescentes, así como hallazgos radiológicos menos intensos y de resolución más rápida.

En el curso temprano de la enfermedad, el conteo absoluto de linfocitos está frecuentemente disminuido, pero el conteo de leucocitos puede estar normal o disminuido. Aproximadamente el 50% de los pacientes, en el pico de la enfermedad respiratoria, presentan leucopenia y trombocitopenia (50.000 -150.000), al principio de esta fase existe un aumento de los niveles de creatin fosfoquinasa, tan altos como 3.000 IU/L y en algunos las transaminasas están aumentadas 2-6 veces los valores normales. La función renal, en la mayoría de los pacientes permanece conservada.

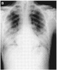
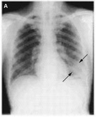
La radiografía (Rx) de tórax puede ser normal durante el pródromo febril (Fig. 2A). Sin embargo, en la fase respiratoria se puede caracterizar por infiltrado intersticial focal que se generaliza, pudiendo encontrarse áreas de consolidación en la fase tardía de SRAS Fig. 2B)(4-6).

Figuras 2A y 2B


Continua: Agente causal

Introducción
Manifestaciones clínicas
Agente causal
Diagnóstico
Tratamiento
Referencias

NOTA: Toda la información que se brinda en este artículo es de carácter investigativo y con fines académicos y de actualización para estudiantes y profesionales de la salud. En ningún caso es de carácter general ni sustituye el asesoramiento de un médico. Ante cualquier duda que pueda tener sobre su estado de salud, consulte con su médico o especialista.





Instituto de Medicina Tropical - Facultad de Medicina - Universidad Central de Venezuela.
Elaborado por el Centro de Análisis de Imágenes Biomédicas Computarizadas CAIBCO,
caibco@ucv.ve
Este portal ha sido desarrollado gracias al apoyo del Fonacit